Coronary Artery Stent Design for Challenging Disease
- Started
- 14th November 2011
- Research Team
- Georgios Ragkousis
- Investigators
- Neil Bressloff

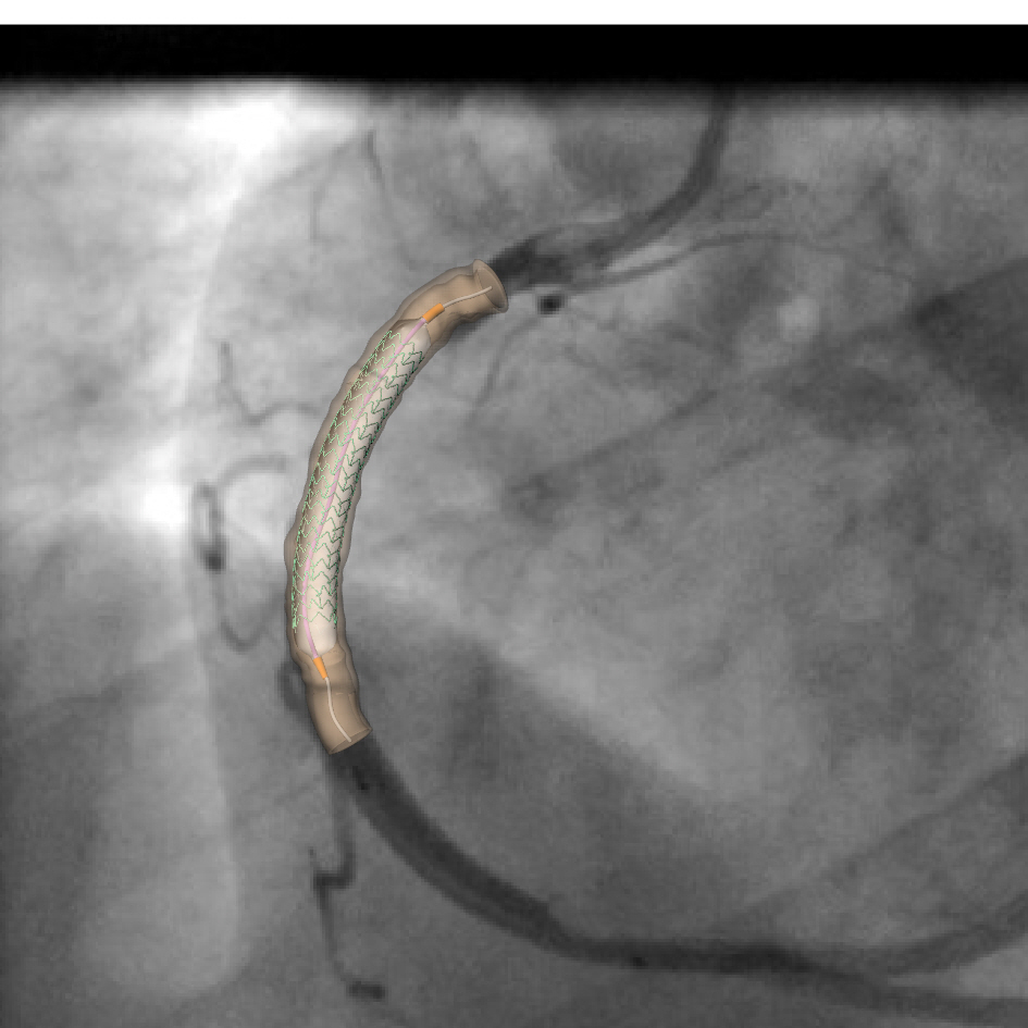
A 28mm stent deployment in a patient specific right coronary artery- The expansion is projected to the angiographic image.
It is well known that, across all populations (based on geographic location, race, ethnicity, age, sex) coronary artery disease (CAD) is the most common cause of death. CAD is a result of atherosclerosis, and affects the coronary arteries that surround the heart. When the inner walls of the coronary arteries thicken due to a build-up of plaque (cholesterol, fatty deposits, calcium, etc.), the vessel narrows and blood flow through the vessel is reduced leading to less oxygen supply to the heart muscle. Percutaneous coronary intervention (PCI) or “stenting” has become the main method for treating coronary occlusions in recent years. Stents are cylindrical mesh shaped devices that undergo plastic deformation so as to scaffold reopened artery walls and restore physiologically healthy blood flow. PCI involves the intra-vascular insertion (typically, through the groin) and deployment of a stent on a balloon-catheter-guidewire system. Once deployed, however, the presence of the stent can lead to unwanted events including in-stent restenosis (ISR) and stent thrombosis (ST).
Although current generation stents have been shown to significantly reduce the rate of ISR, sub-optimal delivery of stents still occurs leading to ISR and, in particular, ST. This is especially a problem in challenging anatomy with long lesions. A common complication of PCI in such challenging cases is stent malapposition or incomplete stent apposition (ISA) which is the lack of contact between stent struts and the underlying wall. This procedural challenge is not new, yet there has been a paucity of data produced with the aim of improving the mechanical impact of the implanted stent platform within a challenging geometry.
A method has been setup to (i) reconstruct diseased patient specific coronary artery segments; (ii) run many simulations of the deployment of state of the art stents into these segments (the Finite Element Analysis software package Abaqus is used for modelling procedures and demands significant run-times and resources, however, using the 16 core nodes on Iridis, it is possible to perform the simulation of stent deployment through balloon inflation in approximately 60 hours, as opposed to the more than 7 days it would take on a desktop workstation) and (iii) assess the degree of stent malapposition. The aim now is to devise a stent delivery system that can mitigate this problem.
Categories
Life sciences simulation: Biomedical
Physical Systems and Engineering simulation: Biomechanics, Structural dynamics
Algorithms and computational methods: Finite elements, Optimisation
Simulation software: Abaqus
Programming languages and libraries: Python
Computational platforms: Iridis, Linux, Windows
Transdisciplinary tags: Design